
We can help if you are dealing with:
Pain or discomfort when eating or drinking – aches or sensitivity
Yellow, stained or dull-looking teeth
Crooked, uneven or misaligned teeth
Chipped, cracked or missing teeth
Old, dark or unattractive fillings
You’ve avoided the dentist and need a fresh start
You want a smile that looks vibrant and healthy
Anxiety about dental visits and pain


Our private clinic in Norwood location and a team that treats you with respect. We take time to understand your concerns and give you clear options. You feel supported from the first call to the final appointment.
Friendly dentists who explain every step
Long-standing clinic in the heart of Norwood
Modern treatment rooms with state-of-the-art equipment
Clear advice, no pressure and no confusion about costs
Full range of general and cosmetic services in one place
We help you fix pain, improve the look of your teeth and stop issues from getting worse. Our dentists match each treatment to your goals so you only get what you need. You can feel confident that we’ll guide you toward the right plan.
Check-ups, cleans and gum care | help you manage sensitivity, bleeding gums and plaque build-up
Fillings and restorations | repair cracks, decay and worn teeth before they turn into bigger problems
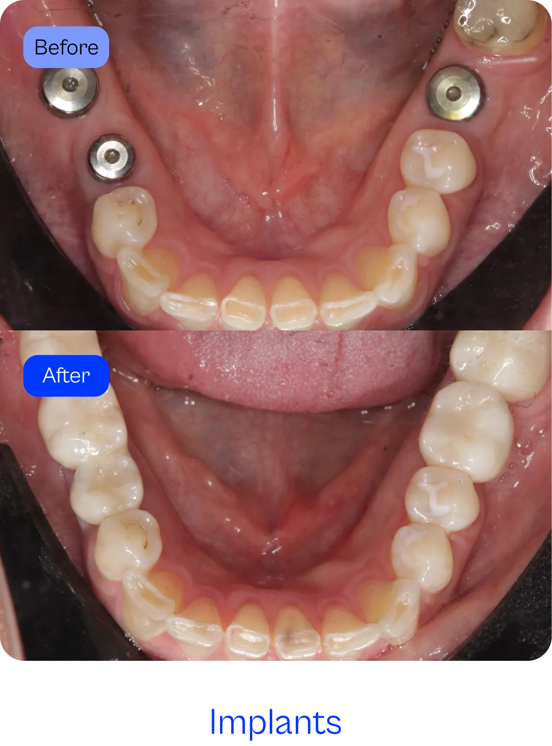
Crowns, bridges and implants | replace damaged or missing teeth so you can chew comfortably again
Teeth whitening | reduce stains and discoloration from coffee, wine and ageing
Veneers and cosmetic options | improve uneven, chipped or misshapen teeth for a cleaner, balanced smile
Clear aligners and orthodontics | straighten crowded or crooked teeth with clear, low-impact aligners
Emergency care | we provide fast help when you have sudden pain, swelling or a broken tooth
Tell us what you need in a quick one-minute survey and we’ll build a clear plan to help you move forward with your dental care.
Frequently Asked Questions
We get it. Your teeth are important and you need to know the details.
We spend time getting to know you and your smile.
We ask about your current concerns and dental history.
Then we do a full examination of your teeth, gums and bite, and take any scans or x-rays needed.
After that we explain all suitable options in plain language so you know what to expect.
We focus on your comfort.
For most procedures we use local anaesthesia so you feel little to no pain during treatment.
We can explain the anaesthetic process before we begin and answer any questions you have.
Yes.
If you’re in pain or have a dental injury, call us so we can give advice and usually see you on the same day.
Emergency care aims to reduce pain quickly and stop the problem from worsening.
Yes.
You can spread the cost of general and cosmetic dental work with interest-free payment plans over 12 or 24 months.
This helps you get the care you need without financial stress.
Yes.
We use techniques like dental bonding, veneers or crowns to restore chipped or broken teeth.
We choose the option that gives you the best appearance and function.
You’re not alone.
Our team is experienced with anxious patients and we work at a pace that feels comfortable for you.
We explain every step before we begin.
Regular check-ups help catch problems early and keep your smile healthy.
We can recommend the best schedule for you based on your mouth and your goals.
Copyrights 2026 | Adelaide Dental™ | Powered By Twin Performance Marketing